【歯を白くしたい方必見】

こんにちは
ホワイトニングサロン桑名店です
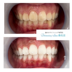
こちらは当店1番人気のフリーパスコースを
終了されたお客様のお写真になります
こちらのお客様はフリーパスコースの保証回数で
回数券として通って頂きました
3週間の通い放題プランですが毎日通うのが難しい方や
遠くてなかなか通えない方でも安心して通って頂けるよう
最低保証が付いていますのでどなたでも通って頂けるコースです
頻繁に通えない方も最低保証の回数で個人差はありますが
歯のお色は上がりますのでご安心ください
ご予約、ご連絡お待ちしております

