【黄ばみの原因】

こんにちは♪
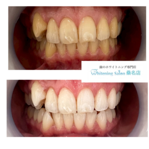
ホワイトニングサロン桑名店です☆
皆さんは歯の黄ばみ対策は万全ですか?
生えたばかりの永久歯は、大半の方が白くてキレイな歯だと言われていますが、日々のお食事の中でどうしても着色汚れは付いてしまいます…( ; ; )
歯が黄ばむ食べ物の代表格といえば、コーヒーを想像しますが、意外にもチョコレートの方が着色しやすいとのデータもあるようです‼︎
【歯が黄ばむ食べ物ランキング】
1. チョコレート:
カカオマスやポリフェノールが歯に付着し、着色汚れの原因となります。
2. コーヒー:
コーヒーに含まれるポリフェノールが、歯の表面のペリクルと結合し、ステインとして着色します。
3. 赤ワイン:
赤ワインに含まれるタンニンが歯に色をつけ、液体自身が歯に絡まりやすく、色素沈着を促します。
4. カレー:
カレーに含まれるスパイスは強い色素を持ち、歯が黄ばむ原因となります。
5. 醤油:
醤油は唾液に色がつきやすく、その唾液の色が歯に着色します。
私はチョコレート、カレー、醤油をよく食べますので、定期的な歯のメンテナンスは欠かせません(o^^o)
皆様もぜひ、当店のホワイトニングであの頃の白い歯を取り戻しませんか?
ご予約、ご連絡お待ちしております♪
TEL:0594-87-7373
LINE @962kavnk

